-
대교협 입시설명회 1만명 몰려
수능 성적표가 학생들에게 배포됐습니다.
지난해보다 어려워진 수능에 고3 교실의 분위기는 무거웠습니다.
대교협이 주최한 입시설명회에는 수천명의 학부모들이 몰렸습니다.
성적표를 받아든 학생들의 표정은 희비가 엇갈렸습니다.
가채점 결과보다 점수가 낮게 나온 학생은 실망감을 감추지 못했고 기대 이상의 등급을 받은 학생은 기쁨을 감추지 못했습니다.
담임 선...
방송일자 : 2010.12.09
-
전문대, 정시모집 전형 6만3천명 선발
다음주부터 전문대학 정시 모집 전형이 진행됩니다.
정시모집기간에는 복수 지원이 가능하지만 수시 전형에서 한 곳이라도 합격했다면 이중등록이 되지 않도록 유의해야 합니다.
전문대 정시모집 주요 내용 살펴봤습니다.
2011학년도 전문대 정시모집 전형이 오는 17일부터 내년 2월 말까지 진행됩니다.
전체 146개 학교가 약 6만 3천여 명을 선발하는데, 이...
방송일자 : 2010.12.09
-
1급 멸종위기 산양, 백두대간에 서식
멸종위기 야생동물 1급으로 지정된 산양이 백두대간에 살고 있는 것으로 확인됐습니다.
설악산과 월악산에 설치된 무인카메라에 포착됐는데요. 자세한 내용 전해드립니다.
작은 몸집에 짧은 뿔, 검은 눈망울을 가진 산양이 설악산에 서식하고 있는 것으로 확인됐습니다.
무인카메라에 촬영된 어미와 새끼 산양이 수풀을 헤치며 다정하게 먹이를 찾고 있습니다.
국립공원...
방송일자 : 2010.12.09
-
세계태권도 한마당 개막
전 세계 태권도인들이 종주국인 우리나라에 모여 실력을 겨룹니다.
겨루기 뿐 아니라 다양한 경기가 펼쳐지는데요.
그 현장을 취재했습니다.
몸을 날렵하게 돌리고, 높이 뛰어올라 격파를 선보입니다.
두꺼운 송판 열장이 차례로 조각납니다.
외국인 선수가 선보이는 화려한 기술에 관객들도 감탄을 쏟아냅니다.
1992년부터 해마다 열리는 세계태권도한마당에 참...
방송일자 : 2010.12.09
-
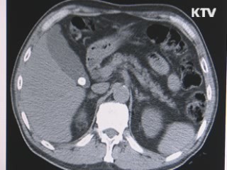
"무리한 다이어트도 담석의 원인"
담석은 흔히 콜레스테롤 수치가 높은 중년층에서 많이 발생하는 것으로 알려져 있는데요.
몸짱이 되기 위해 과도한 다이어트를 하는 여성층에서도 발병률이 높은 것으로 나타났습니다.
담석증 환자와 그렇지 않은 사람의 초음파 사진을 비교해 봤습니다.
담낭 근처에서 하얗게 보이는 부분이 담석으로 환자는 우측 옆구리 쪽에서 쿡쿡 찌르는 통증을 느껴 병원을 찾았습니...
방송일자 : 2010.12.09
-
농산물 물가잡고, 수입품 가격 내리고! [정책&이슈]
4%를 넘었던 소비자 물가가 지난달에는 3.3%로 떨어졌습니다.
그러나 채소류 등 신선식품 가격이 오른 상황이어서 서민들의 체감물가는 여전히 높다고 할 수 있는데요.
이런 서민들의 힘든 상황을 고려한 정부에서 물가 안정 대책을 발표했죠.
물가 안정을 위한 세밀하고 체계적인 내용에 대해 자세히 알아보기 위해 기획재정부 물가정책과 이용재 과장 모셨습니다....
방송일자 : 2010.12.09
-
허리띠 버클 [한국의 유물]
허리띠 버클
< 저작권자 ⓒ 한국정책방송원 무단전재 및 재배포 금지 >
방송일자 : 2010.12.09
-
창업자, 세무 멘토링 서비스 받으세요 [정책 플러스]
생활속에 플러스가 되는 정책 정보를 소개해드리는 <정책플러스> 시간입니다.
국세청이 지난 4월부터 시행한 창업자 멘토링제도에 대한 설문조사를 실시한 결과, 실효성과 만족도가 매우 높은 것으로 나타났습니다.
지원을 받은 대상자 중 82.2%가 실질적으로 창업에 도움이 됐다고 답했는데요.
자세한 내용 화면을 통해 만나보시죠.
< 저작권자 ⓒ...
방송일자 : 2010.12.09
-
모닝 와이드 (41회)
한미 군수뇌, '연평도 도발' 공동대응 협의 / 이 대통령 "주민 안전 위해 서해5도 요새화" / "전투형 야전부대 육성…도발시 강력 응징" / 국제형사재판소, 北 연평도 도발 전범행위 예비조사 / 전북 익산서 조류인플루엔자 발생 / 농수산물 수급 안정 1천억원 투입 / 한국서만 비싼 생필품 가격 인하 유도 / 재정차관 "내년 물가 상승률 3% 전망" / "수능 어려웠다"…중위권 경쟁 치열할 듯 / 대한민국 학업성취도 OECD 1위 / "주민 염원 낙동강 사업, 정상 추진해야" / 올해 해외건설 수주 사상최대 기록 / 프로배구도 온실가스 줄이기 동참 / 내년부터 아이돌보미사업 정부지원 확대 / 월세도 소득공제, 성형수술비 제외 / 화장시설 인터넷 실명예약제 전국 확대 / 택시 CCTV 가이드라인 마련 / 국내 첫 '민영 교도소' 문 열다 / 60여 년 무대 위 또 다른 인생, 연극배우 백성희 [나의삶, 나의예술] / 2011 수능, 정시모집 지원전략 [정책&이슈] / 우리강, 우리농촌 현장 탐방 [정책, 현장을 가다]
방송일자 : 2010.12.08
-
한미 군수뇌, '연평도 도발' 공동대응 협의
한미 군 수뇌부가 북한의 연평도 포격 도발 이후 처음으로 서울에서 긴급 회동했습니다.
합동참모본부는 오늘 오전 현재 중회의실에서 북한의 연평도 도발 의도와 향후 안보정세를 평가하고 한미동맹 차원의 대응방안을 다각도로 논의하기 위해 '한미 합참의장 협의회'를 개최했다고 밝혔습니다.
우리 측에선 한민구 합참의장과 정홍용 합참 전략기획본부장이, 미국 측에서는...
방송일자 : 2010.12.08